This is a completely off topic post about my personal life.
I’m now back at home after one week at hospital due to chest reconstruction.
Since my teens I’ve got Pectus Excavatum, a chest deformity where the chest bone is deformed and gives the chest a concave appearance.
Pectus affects about 1 out of 1000 people.
In my case, the PE was not only cosmetic, it also gave me chest pains when deep breathing and also putting pressure on my heart.
When I was a teen, the only way to fix the problem was to cut the ribcage open and cut everything off and then rebuild a new chest.
That alternative wasn’t very appealing to me so I did not do anything about it at that point.
However, now some 20ish years later, I found out about the Nuss procedure, a procedure where you implant a steel bar into the chest, putting preassure on the chest bone and ribcage from the inside and thus forcing a correct shape.
The Nuss procedure have apparently been around for some 10 years, but I guess there are no newsletters for that kind of information ;-)
The reason why I write this post is because I found it very hard to find information regarding Nuss for adults, e.g. information about how long I should expect to be off from work, and what results to expect from the procedure.
So here are some facts.
Age: 34
Pectus: Mild/Medium
Procedure duration: 1.5 H
Time in hospital: 6 days
Pain after procedure: Way less than expected, was up and walking the day after.
Current status: 9 days since procedure and I feel quite OK with some occasional pain spikes.
Putting on socks or getting in and out of the car is extremely painful.
And don’t even think about sneezing ;-)
Before images:
As can be seen on the “before images”, my chest bone was sunken into my chest by some 2-3cm.
After images one week post op:
These images are taken 9 days after the procedure.
The steel bar was inserted just below my man-boobs (where the tape is).
I will now have the bar for about 3 years before it is removed and hopefully the bones have been re-shaped by that time.
[Update]
After images, 4 months later
Changed my diet after the surgery, got rid of the worst parts of the pot belly.
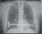
X-Ray:
I guess I can’t get through airport security checks anymore…
Update
Two years later

2.5 years later.
Pretty much back at the strength and size I was when I was 20.
Benchpressing 140kg with the nussbar inside :-)








Interesting, never heard of Pectus Excavatum.
The procedure sounds painfull, hope it gets better :)
If you ever get stuck on a deserted island with a psychopath who needs a hammer, don’t tell him this particular story. ;-)
Amazing…
Get well and wishing you to be healthy from now on.
I’ve followed your blog for almost a year now, and am quite fond of your writing. I’m also a medical groupie, and was thrilled when I found your post linked by a medical blogger I follow.
Also glad that you’re doing well with the procedure. Given your description, I’m amazed that you can even survive coughing. Good for you!
I am following your blog for almost three years. I wish you must live long and make others happy.
Hello: My son will has a nuss procedure next july. Pls let me know if you had to do some exercises (phisical or respiratory) before the surgery. Thank you so much and hope you will be better soon.
@Loli
Hi, no I did’nt have to do any kind of exercise pre OP.
Altough, I’d recomend some gym workout, the stronger you are the easier it will be to stabilize the body and avoid some of the pain from the bar when moving.
Other than that I don’t think there is much one can do to prepare for the OP.
Just stock up with games and movies for the recovery :-)
Hi – I’m a 37 year old woman that discovered that I have Pectus with an Haller index of 5.3 after complaining to my doctor about breathing problems during exercise. I’m a very physical person (I’m a stunt woman) and was wondering if you could give me any feedback about recovery times? For example, being able to participate in full contact sports etc……..Many thanks in advance!
Hi..
I am a female and had the nuss procedure in 2006. I had it
In Jan. of that year, I had two bars placed in my chest a lot higher up than the x ray I saw above. It took a good four months to feel ok. However two years of pulling the muscles around the bars …perhaps due to my line of work.
Thanks a lot for your answer and wish you a prompt recovery.
Greetings from Venezuela!
who did your surgery and where? I’m in my 40’s and am looking for a Dr that will perform this procedure for me.
KB
It was DR. Erik Gyllstedt and DR. Oswaldo Fernandes in Örebro USÖ hospital Sweden.
if you need recomendations for other countries, I would recomend joining http://www.pectusinfo.com/board we pectus people have a community there.
You look great. My son is having the Nuss procedure in September this year. We have been on the pectusinfo board quite often recently. What is your user name on the board?
Thanks!
I’m “Roggan” at pectusinfo
Hi Roger, my boyfriend just had a nuss procedure and he’s now still recovering. What is your diet like postop? And did u have any constipation after the surgery. Thank you
@mel.
Hi, I was lucky and dindt get any problems after surgery, constipation is most likely due to the painkillers (morphine causes that)
I was only on painkillers for a week so no reaal sideeffects for me.
My new diet rules:
As little sugar as possible, no soda or sweet drinks at all.
High fiber content, eating Müisli/Bran-flakes morning and evening.
Only one real meal per day.
Thats pretty much it.
im having this done on november 2nd :) cant fucking wait!!! lifes been nasty with it. i know im only 17 but i guess there the years ur body should look best. he says sarcastically :|. i may actually go to the beach when asked now and go swimming and not have to make up some lame excuse like, nahhh the beach is crap i hate the sea. or nah swimming is boring i can have as much fun in the bath for less money. roll on the OP!!!
@Jordan congrats on getting the issue fixed at such an early age..
I missed out on all those years..
And I promise you, you will feel great once it is done!
I had some problem getting used to the new look at first.. but now, I love it and I hardly remember how it was to have the dent..
Hey. Im 14 years old and I have PE. I don’t think it is majorly bad but I am considering surgery. I don’t get chest pains but sometimes I struggle to take in deep breaths (quite rarely). I would be very happy if I could have surgery and it all go ok. But it worries me. I have heard that its painful and I can’t imagine the thought of having a metal bar inside me. Could someone who has had the surgery please answer a few questions.
How painful on a scale from 1-10?
Does it feel weird having the bar there?
How long until the pain is completely gone?
Are the results successful?
Please could you answer these few questions for me so I can think more about surgery.
Also it would be great for my PE to go because I have tried to build up my pectorals (I heard that increasing the muscle mass on the pectorals hides the PE) but I can’t due to the concave dip in my chest. It is extremely hard to build the lower pectorals. (I’ve tried bench presses, press-ups and all sorts of ways).
Please feel free to comment and more information on the surgery would be VERY helpful and I would appreciate it a lot.
Thanks guys.
@Conor
1)
Regarding pain, I would say it is very individual. some report incredible pain.
In my case it was quite OK, I were doing pushups one week post surgery..
2)
Not at all, I don’t even think about the bar nowdays.
I can feel the attachments on the sides and they can hurt a little bit when laughing or so.. but all in all, hardly noticable..
3)
About 4 months untill _completely_ gone.
I was back at work 1 month post surgery and at that point it was pretty ok.
4)
Yes, people can no longer tell that I’ve had PE..
And most importantly, all brain demons caused by the PE are gone, I can go shirtless on a beack or whatever..
Regarding building muscles… building bigger pecs will make your PE look _worse_
there are no muscles in the middle, so if you build muscles on the sides and there is a pit in the center, the pit will look even deeper…
That is the general observation atleast.
hey Roger, congrats on your success I wanted to ask that you said as the dent is in the middle so building muscles will make it even worse but what if dent is on one side of the chest like below left side of chest, will building muscles in that case make dent look less noticeable? or will it make it worse in that case as well?
looking forward to hearing from you.
Thanks Roger. I heard that about building muscle on your pecs but that was after i already tried. I think im going to go to the doctors with it and see if i can get admitted through my GP. Hopefully i can get surgey and it all goes well. Hope you get better soon and thankyou.
hi, how did u recover so quick? im 32 and had the nuss procedure 3 and a half wks ago and ive been through hell. the time in the hospital gives me nightmares still, the pain was so bad and the morphine done my head in, i had big thick long drains coming out of my sides that lead down to 2 heavy boxes for 7 days, i felt like a robot and not human at all. ive hardly slept since ive had it done cos the bar pressure is is so bad, im a mess, i really regret having it done. 4 yrs ago i had scoliosis and had a massive operation to straighten my spine and after the long recovery i never got pain and now my back hurts and ive got quite big lumps either side of me where the bar connets and my breasts have been pushed so far apart and now i cant move them n the bottom half of them are completely knumb and the pectus is still there. ive got 3 children and cant do anything with them, it breaks my heart, im so exchausted i cant even go out. i need to knw if any1 else is suffering like this :-( x
I had it done in 2006.. I still have the bars in . I had a rough recovery as well. I have two bars higher up than the x ray above. I have since been diagnosed with SLE as a million other things, are you better now??
Hi everyone !
I just went through nuss procedure at Royal Brompton Hospital in London . Procedure was done on 13/09/2010 morning and i was unconcious for 2 hours . When i woke up i was in svere pain and was not able to eat anything . My whole body was paining badly . If your GP does not send you to see a Consultant ( Suergon) you can contact the hospital from NHS website . Consultants are keen to listen and they will if you want do the operation . If the nuss procedure does not bring the best shape as you should have dreamed of you still have option to ask for Ravitch procedure on the same day as it is easy to do . But ravitich is quite a big operation surgeon will cut your chest fron middle ( 4-5) inches . I am still off work on sick note and i might start work next week it`s almost 2 months and i am still not 100% . SO PLEASE THINK CAREFULLY BEFORE YOU MAKE UP YOUR MIND . You can ask me any question on the process and direction . Bilal
Comment how does your body feel now as my son is contemplating
Roger,
I recently had the Nuss procedure done–I’m 26 years old–and it went really well. I was just wondering if you run at all, and if so, how long did you wait after the surgery to start running again? I was in pretty good shape before the surgery, which helped a LOT with recovery, but I’m not sure about when I should start a running regimen again.
Hi again Roger :)
I have spoken to a doctor and he has offered me surgery, but I don’t think I am going to accept it because my PE is not severe’ he said it’s mild. So building upper body muscle should improve it according to the surgeon. Also I have found that when I put my shoulders back, straighten my posture and tense my stomach, My PE is very un-noticable. So I think I’m going to work extra hard to build that muscle mass :D
Thanks for the advice…
Conor :D
My son is 13 and he has PE which is causing him chest pain, we are seeing a cardioligist tomorrow. I don’t know much about all of this but after reading these posts, Im terrified for him. The initial doctor is recommending surgery. Does age have anything to do with the pain? What other options are out there for him?
@ emma
I also am 31 year female and am three and half weeks out from the Nuss surgery where i had one bar inserted. I have experienced what you have described and was wondering how did things turn out for you at this time? Wishing you well
Hi everyone, my names Nick Riggi, I’m currently 14 years old, male, I “had” pectus, I just got my nuss procedure done 1 week ago today, and I’m loving it, (I got 2 bars in, my was very severe) I have absolutely no pain, 1 – 10 my pain is -2,” I got the surgery Monday, August 8th, 2011, I left the hospital Sunday, August 14th, 2011, and I didn’t take anything for pain that last 2 days in the hospital, and I could have left the Thursday, August 11th, 2011….but you have to have a bowel movement before you can leave, and I didn’t.
But as I said, I got 2 bars because on the Hollar index (the rating of which your pectus is severe) to get the surgery you must have at least a 3.2 rating, mine was a 10.9, the most severe the had at this hospital. I was operated on at the Cincinnati Children’s Hospital but the #1 pectus surgeon in the United States, a Dr. Victor Garcia. He did a great job, but if you have an question please feel free to ask,
By the way, after surgery, once you are off your epidural block, do not the the following (from order not much pain to the most pain) No laughing, no coughing, sneezing, vomiting…on a pain scale, 1 – 10, laughing = 3, coughing = 5, sneezing = I haven’t sneezed yet but I believe would be somewhere around a 6 or 7, and vomiting = 15, yes 15, I vomited once off the epidural block because of a certain pain drug I was given, and the pain was excruciating, so if you feel like you are going to vomit, take deep, slow breathes, and if you can’t stop it, just pray and brace yourself, because I am no joker, the pain is deathly.
***Things I have trouble doing 1 week after surgery: Washing my hair in the shower, put on shoes, putting on socks, brushing/combing my hair. Getting up from a laying position is very, very, very hard, I can not do stairs very well, I must have my mom hold me hand, because it does hurt.
To everyone who is considering this surgery, it is very much worth it, also if possible try to contact Dr. Victor Garcia for an operation, I know not everyone can get to him but he’s worth it. (http://members.iinet.net.au/~broadstock/ipc/list.htm#usa) 1/2 way down the list is his contact information.
Good luck to everyone who is getting the surgery.
What size of bar’s did you have rikki?
Hi there Nick my son had Nuss Procedure on the 25 August 11 and he complains of a burning sensation which turns into a sudden pain did you experience anything similar to this described. ( Just behind one of the incissions.)
Anna to your post.. I am 23 and had surgery in october. I’m 5 weeks post op. I get that burning sensation to sharp pain in the same spot on my right side mostlly. The rest of the pain is okay. Not great but manageable. But that burning sensation comes from the muscle and the stabalizer, and let me tell you.. Worst pain ever felt in my life for those 2 seconds. Feels like ur muscle is on a stove. I don’t know what to do? Do you? Or anyone else
Sounds like I have same situation you had. But a little worse. Can’t find any info on drs who do nuss on adults. Please share any list you may have. Thanks.
I am 27 years old and I just had the nuss procedure done on Jan 26th and I was wondering is there any tips you can give me on getting back in shape or just any tips at all to get through this?
And anyone interested in getting the nuss procedure done I recommend ( cincinnati childrens hospital) they have a team of Drs that specialize in this for kids and adults and I thought they were very good. I. Was up walking around the same day .
My daughter had the nuss procedure done in jan. she is 12. She had moderate to severe, her heart and lngs were being compressed. Her recovery was quite challenging, thou she’s never had a high pain tolerance. She was out of school for 5 wks. She fells better physically than she ever has. She says she can run faster than she ever has been able to. She is going to Dr. today she has been having the burning sensation and itching, also where her longest scar is, there is a big buldge it feels like the bar, maybe scar tissue. I wish you all the best, I know it can be scary and pain can be horrible. But it does get better, and you will feel wonderful.
I just had my surgery on january 27th 2012, I had the same exprience with the discomfort and extreme pain while sitting in a position your comfortable with etc, 3months later after the surgery im all ok, no pain, sometimes alittle discomfort on the odd day, but everything its ok sweet. Never again though pulling a stunt on a surgery like that unless i really need surgery for a real life threatening health problem. After 3 years basically 2015 the bars coming out and hopefully i feel back to human normalness and 100% organic lol because people with the nuss bar in the body can have restrictions like extreme long length running, heavy weight lifting, breathing fully( cant expand chest because of bar)….etc sometimes i do wish i had the ravich procedure since it was more straight forward then the bar inserted.
What ever you do if you have the nuss bar in your chest DO NOT cough, laugh hard or sneeze to much in 1day, I had the common cold, i was coughing and sneezing to much in one day! and pain came back! but a different type of pain mostly soreness, aches and discomfort while lying or slaching….. The end of the bar on both sides was really sore and achey, discomfort was annoying at times. I thought the bar moved at first but i realize it couldnt be, I would no about it if that happened lol. Its gone though and learnt the hard way. Ill be so excited when the time has come to get the bar removed, might be alittle pain and stuff but i will heal and turn back to normal as normal human beings do living there lifes.
Im not trying to put you readers off with the surgery, just make sure your prepared for it and you think you have made the right choice before you have this surgery, Pains always comes after injury and damge to a body, and also leaves scars!
Sorry for the bad spelling and grammer understandings lol :)
hi, my 13 1/2 year old son is scheduled next week for the nuss procedure. He won’t swim around anyone except family. He is in the moderate category on the holler index. I am having second thoughts aobut him having the surgery. I know he has another growth spurt coming around 15 or 16 but it seems the younger the patient, the better recovery…
Any thoughts???
@Melissa, I really have no idea if it is better to get the surgery at 13 or 16, my completely uneducated guess would be that he has an easier time to deal with it around 16, you know, more fighting spirit from testosterone at that age.
Yet at the same time, it might be sad to miss a year or so with friends/dating/etc at that age feeling like a cripple.
I missed out of all those things due to my PE at that age.
//Roger
Roger, Thank you for your kind reply. Any feedback is welcome. Yesterday we had pre op. He was ready to go through with it until we got there. He was scared and overwhelmed by all of the people coming in and out…not to mention the lab draw.
From everything I read, it all says this is a quicker recovery on his body at his age…He’s almost 14 . My gut tells me to encourage him to go ahead and get it done now because he’s not into much this summer. Next year he will be a freshman…
Again, thank you for your reply. I am hoping to come up with a solid answer today as he is scheduled for early tomorrow.
I see alot of search queries regarding the nuss procedure in my blog statistics.
Many regarding post op pain and sports/weight training.
1) It’s completely natural to have even alot of pain after the nuss procedure, remember, you’ve got a metal bar through your torso.. human shish kebab ;)
2) Once the pain is less prominent, you can workout, I personally do heavy weight training nowdays.
Allthough, I guess full contact sports are a no no, hard hits to the chest might dislocate the bar.
My son had his Nuss done on June 18th with 2 bars because his Haller index was 7.3. He had a lot of vomitting in the hospital and some after due to car sickness. His top bar shifted sometime during the 3 weeks after the surgery. We tried taking it easy to see if it will get more solid with healing. Now he has clicking, rattling, and popping feelings inside and can press on the bars to make the feeling stop briefly. We are supposed to find out Monday what can be done to correct this. Bottom bar seems solid but the top is acting like it wants to flip. Has anyone else ever experienced anything like this?
I had the procedure done seven months ago with one bar (my Haller index was a 6 I think) and I my bar pops when I breath in and creaks against my sternum when I do push ups. I think it’s normal but idk….. :/
We are seriously considering this procedure for our 18 year old daughter. Have to put it off till May 2013 when she is on summer break from college. Sounds like she will need plenty of time to recover and a mom to take good care of her. She is considered a moderate case and she complains of the same problems many other PE patients complain of. Can’t take a deep breath, tires easily, occasional sharp chest pain. She had these complaints starting back when she was 12 but was not diagnosed until she was 16. So, I would love to ask you how you are doing now. Have you had any complications with the bar shifting or infection. Has your breathing improved and how about your endurance when you are playing sports? How often do you have to follow up with you doctor? Hope all is well with you.
Hi.. My son is 13 1/2. He had the miss procedure done July 5 this summer. Pain was controlled at the hospital. The nausea he has was minimal. Pain management at home was short. His chest has looked great since he’s had it done. He is happy with his chest results. He is open to talking about it for sure. Please contact us if you would like to chat with him.
His email is Kylemoneill@aol.com.
Hi.. My son is 13 1/2. He had the NUSS procedure done July 5 this summer. Pain was controlled at the hospital. The nausea he has was minimal. Pain management at home was short. His chest has looked great since he’s had it done. He is happy with his chest results. He is open to talking about it for sure. Please contact us if you would like to chat with him.
His email is Kylemoneill@aol.com.
In researching the Nuss procedure I am finding that some people experience extreme pain and a lot of recovery time and other recover relatively quick with tolerable pain that can be managed easily. It doesn’t seem to be determined by age when the procedure is done. I am wondering if it is due to the experience of the doctor doing the procedure and the hospital. The people who have had an easier experience has your doctor done a lot of these procedures and for those who have had a tougher time would you say that this may be a factor? My son is 13 and has moderate PE. He is athletic and is in good physical shape. He wants to get the surgery because he gets very winded and fatigued when playing sports and he can’t perform like he wants to and and also for cosmetic reasons. We had a conseltation with a pedeatric surgeon and she said he will hate his life for about 2 weeks post op because of the pain. He is very nervous about this. The closets children’s hospital is in Syracuse NY. Any info would help! Thanks
Roger,
Sounds like I’m in the same boat you found yourself in.
Literally 1 hour ago I had no idea about the Nuss Procedure.
I’ve had the gamut of tests run to make sure I don’t have any pulmonary issues that are bringing on chest pain. It comes and goes, but I had a pretty lengthy occurrence tonight so I got to surfing and found out about the procedure.
I went through middle and high school like just about every other kid with PE. If you didn’t have your shirt on at the pool everyone thought you were cold or something because your arms were always crossed in the diving board line. It was seriously taking its toll on me. I played varsity soccer and had to take the coach aside and convince him to make sure I was always on the “shirts” team.
Anyway, I’m 30. I’m married now. I have a two year old little girl and another one on the way. I did 4 years in the Marines and two tours in the desert, so I’m no longer concerned with whether I need to impress the opposite sex or what others might think of me. I guess that brings me to the reason for the post.
What was it that initially influenced you to get the procedure? Was it cosmetic (which, trust me, is completely understandable) or were there other symptoms that you were having that led you to consider it? I guess I’m concerned how serious of a byproduct there has to be for insurance to help cover the procedure, know what I mean?
Thanks, in advance, for your input. And for keeping up with all of us that are posting on here.
By the way, no homo, but the results look awesome, bro.
Aaron
Hi I am a 30 year female with PE..after years of suffering emotionally from this..I finally went to my doc who refereed me to a pulmanary dr. Who then refered me to U of M..but the dr. I seen there refused to do the surgery on me becuz I smoke cig..has anyone heard of this???
@red , I don’t think that is too uncommon? I think they refuse surgery on smokers here in Sweden too.
Smokers don’t heal well after surgery. even worse if you continue to smoke during recovery.
My son has PE he is 17. He is considering the surgury. My question is he has lots of other things that I wonder are these connected to the PE. Does anyone else have curved back (slouch) anxiety or severe depression, lack of friends, a lot of anger. Weird cough…almost like a honking noise. Not like a wet cough more like an annoying tickle in your throat I guess? I’m hopping he will get a relief from more than just the dent. Anyone else experience any of these things? Ps most of these symptoms got worse around age 15. Thanks!
My son is 13 and over the years I have kept telling him stop slouching and put his shoulders back. I now realize that it seems to be from the PE. It pulls his chest in and then his shoulders come forward. No issues with the other syptoms you mentioned though. It may depend on the severity of the PE and how much it’s pushing in on his lungs. I can imagine that having this condition could also cause depression because of body image. My son is self concious about it especially in the summer.
Hey there, I had the same procedure done and I was wondering if you ever had any pains at the site of insertion, perhaps where they fastened it to your bone. I have these pains when I move in certain ways or expand my chest too much from breathing. I think perhaps my bar may have been too short. Did the expansion of your chest muscles cause you any discomfort? I recently started working out 5x a week and I am worried that lifting will dislodge the bar.
@JT, I did feel like the bar was too short at the end. don’t know if that was the case for real, but I did have a tighter feeling across my chest.
Also, I’ve had a fair bit of cartilage growth on my ribs where the bar was attached.
I had the bar removed 1.5 months ago, and I can feel the new cartilage when touching my ribs.
I’m fairly confident that the the new cartilage is pressing on the muscless between my ribs and causing discomfort, going to have this checked out soon.
Looks like you have worked very hard to make the most of your correction. When are you having your bars removed?
Had them removed april 14 this year, slight slight regression after removal, maybe 0.3-0.5 cm back. but still way better than before surgery.
Hey roger. Im 28 n like all these stories I can relate to all the excuses n emotional anguish of having PE. I just wanted to say congrats n it has to feel amazing to be able to go shirtless without the constant staring n questions of whats wrong with u. I have never had any health problems from it but psychological it has really held me back from just feeling good about myself. I have an appointment in a month n I pray I get the good news to have a success story of my own n it will be covered under my insurance. Also I was wondering if I have a desk job (paralegal), do u think it will take a month to get back to work like in ur case? I have very similar build to urs when u had it done with a similar dent. Im hoping for the same positive outcome u have had with being able to shape my body n finally have my self conscience demons gone n make up for the times ive missed because of it. Can u post pics of the bar removal n up to date if u have them? Also curious on the regretion u mentioned. Thanks n Congrats again on ur success.
Just had my pectus surgery a few days ago. Glad to hear that yours went well man–gives me some hope for mine. I am just in that awkward pain/not being able to move stage. Anyway, I dont usually write comments, but I saw your page and was glad to see a success. My surgeon has already started talking about a revision surgery b/c my x-rays are not great…
My daughter had the Nuss procedure done in July, she seemed to recover well but after 31/2 months she has started to experience an awfull burning sensation on either side of where the bar ends, she on lots of pain killers and we are concidering taking the bar out after only 4 months…
Wow this is absolutely inspiring and motivating me to do the procedure came out so good. I gym as well do you feel any pressure or abnormalities when you bench press or do chest exercises??
Thanks
@Joseph, When the bar was in, I could get some pain from dead lifts and military presses.
I guess for the same reason, both exercises push the shoulders downwards, putting pressure on the ribs around the bar.
Chest exercises did not hurt in my case.
Now that the bar have been out for some 9 months, I have a bit of pain in the scars and in the ribs where they cut off some cartilage.
But I wouldn’t say that it is painful to work out, but it does hurt bad if I press a finger where they cut the cartilage out.
I have had a bit of regression since they took it out. I’d say that the sternum have sunken in some 0.5-1 cm maybe. hope it doesn’t continue
Hi Roger,
I’m a week and a half post op and am recovering super quickly.
But, I’ve been getting this stabbing and unbearable pain near my right side incision (stabilizer is on the left).
It stays with me throughout the whole day if I move my right arm even the slightest.
Do you know anything about it or how to fix it?
Thanks a lot!
i had the nuss done 6 months ago today and am regretting it mostly because it did not fix my PE at all. I am 20 years old and had (still have) moderate to severe PE (haller 3.8). I had a pretty standard recovery, 1 week in the hospital, narcotic pain killers 4 weeks, 4 months returned to some sports but it was still very challenging and I still can’t exert my chest muscles fully. When I woke up my chest was flat however it completely regressed back to its original form 1 week after surgery with the bar in. I think this is because they only put 1 bar in and I am very tall (6’8″ or 203 cm) and its my understanding many people my height need 2-3 bars, the surgeon disagreed however but I think the results speak for themselves. All I can say is think very carefully before you get this because its not uncommon to have complications or not get the results you want. I wish I had known more of the risks before I got it done because often times only people with succesful Nuss surgeries will make posts. I am happy for everyone that it worked out for but unfortunately for me it did not and I still had to go through the same awful recovery.
I have heard that the older you are when you get this procedure done the lower the rate of success. The doctors have told me it is better to do when your a teen when cartilage and bone are still growing. Once the cartilage and bone has finished growing that it is difficult to correct. Any comments or experience with this?
My 21 year old daughter had the Nuss done 1 week ago today.
First let me say to anyone who has had this surgery… After watching her suffer and still suffering in pain… I applaud you all for your strength and courage.
My daughter has been through every major pain medication and still on a pain level of 8/9 at all times, and she has a very high pain threshold.
She has chest pain, side pain, back pain where she has pressure and shoulder pain that equals and surpasses her chest. I wonder has anyone else experienced stronger pain in other areas besides chest/sides? Did heat/cold help?
I hope the sleepless nights, pains and restrictions will all be worth it for her.
For a point of reference: her Haller ration was 6.5 and her sternum was not straight back but sitting crooked/sideways.
Any thoughts, words of encouragement, or advice would be greatly appreciated.
My daughter had it done when she was 19. The bar moved and had to have it redone a few months later. Still has pain at a 2-3 and shes 22 now, supposed to get it removed next year. My youngest will have it done next summer, he will be 14. I’m not looking forward to the pain he will be in.
Has your younger child done it yet? How did it go? And could you please tell me the cost of the procedure?
Cheers
No hasnt had it done yet. Most likely will have it done this summer. we are in the usa. insurance will pay for most of it. He says that he cant breath sometimes, He has aspbergers so has a hard time explaining feelings.
I’m a little late on this blog so I don’t even know if anyone still keeps check on it, but I have high hopes! I’m 20 and just met with my surgeon today about the nuss procedure, and I’m honestly freaked out! I see that the pain pretty much varies by person, and the fact that I don’t have a very high pain tolerance worries me. My PE has just continued to deepen as I’ve gotten older, but has just started giving me problems in the last year or so. I mean, I can’t even go to the bathroom without getting out of breath, and that’s just sad. My PE is asymmetrical, so I’m worried that that might cause extra problems. Anyone that could have any comments or suggestions would be a blessing. I honestly just need someone to talk to with common interests!
Hey I’m a 14 year old guy with PE from Australia and I’m considering surgery. The main factor is probably cosmetic although I do feel like PE is holding me back on some sports and have had some chest pains occasionally. I would be willing to bear some pain but what’s mainly holding me back is that my family isn’t particularly wealthy so I’m not sure if we could afford it. Here are some facts about me and some questions:
PE: Mild (symmetrical right in the centre, I do have flared ribs however)
Physique: Pretty athletic and healthy
Age: 14 (turning 15 this year)
Height: 176cm
Weight: 60kg
How much does the surgery cost? Including hospital fees and all
Would I still be able to participate in sport/go to the gym and workout afterwards with the bar inside?
How long would I need to bar in? My pectus is quite mild and doesn’t affect me much more than aesthetically.
Thank you:)
I think its about 12 000 euro ish in germany(?) here in sweden we have free healthcare so I didnt pay anything :)
I am 41 years old and live in Quito, Ecuador. I was born and raised in the US. I am having the Nuss surgery done next month. I am pretty nervous about reading all the mentioning of extreme pain. I am 5’10” and weigh 140. My bones are very skinny and I know that my surgeon is going to use 2 bars. My pectus is pretty deep and it’s a rather long depression. I have read and been told that with 2 bars, there is less tension and thus less pain. I am hoping that since I am a skinny guy, it won’t be that difficult to reset and maintain. Basically for me, the deciding factor has been the amount of paint that I have dealt with due to poor posture and pectus. Neck and shoulders, TMJ, some back pain. Pain in the side area closest to the deepest part of the depression. Thankfully the surgeon down here was trained by Dr. Nuss, who spent about a week here doing surgeries. My surgeon has good experience with adults and has done over 100 surgeries. The surgery is being done at sea level, instead of 10,000 feet where I’m at and recovery time will also be there. One thing that worries me, is that I don’t think Ecuador allows Opium based medicines in this country. Is there other good stuff out there? Thanks and my best wishes to everyone in the decision making process or the recovery process….and most for those in the “stare at the mirror for hours” phase.
hi There
were there any regression thus far? apart from the bar removal ( 0.5 – 1 cm )
I have a concavity in the chest and I want to edit my chest surgery but Matklvh process
How to take the full restored my health and my body has been restored and how much time will be rendered in the chest iron rod
I am 22 years old and I want your advice, but I’m from the Arab country do you recommend I do operation abroad such as Sweden and how much the cost of operation and how many took to my health has been restored
Hi and thanks for sharing!
Hope you are still active on your site and able to answer.
I am considering undergoing surgery and was surprised how quickly you could start doing pushups again. I have two kids and I thought I would not be able to lift them for 3 months, how quickly were you able to lift again?
I am also curious about the regression, if you have any update on that. I read some people have the bar in place permanently. Did you feel any different with the bar in compared to out? typically the last months before it was removed.
Appreciate any answers!